My cookies preferences

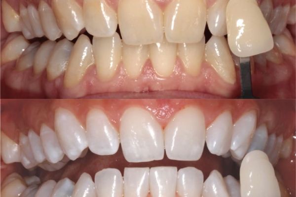
Before / After

MAKE AN APPOINTMENT

Our case studies

We work every single day to satisfy our patients and the success of each intervention is at the center of our work.

By trusting Dr. Perelle, you offer yourself an extraordinary level of care and dedication. Indeed, your satisfaction and the continous strive for excellence are the very essence of his work. Availability is our top priority. Our patients have direct gsm or whatsapp access so we can be there for you , whatever the circumstances and 24 hours a day if necessary.

In order to always offer a service at the cutting edge of technology and to answer all demands and hopes of his patients, Dr. Perelle produces himself in his lab the dental prostheses so that every single details is customized . This guarantees you the perfect craft , personalized details and record deadlines.

Getting treated at the White Dental Clinic Waterloo is treating yourself to a one-of-a-kind oral health experience. Thanks to the dedication of a doctor who works with professionalism, expertise and compassion, you will achieve the level of confidence and well-being you are looking for.

Contact & Appointment

To schedule an appointment at White Dental Clinic Waterloo or for any inquiries, you can reach out via the provided contact form or by phone. The clinic is located at Av. Winston Churchill 147, Brussels. You can also connect with them on Facebook and Instagram for updates and more information.

Dr. Benjamin PERELLE

Do not hesitate to contact Dr. Perelle directly via WhatsApp or by phone for any request for information or appointment. He will be happy to answer you as soon as possible.